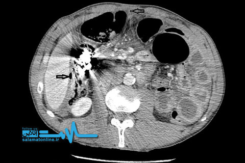
بیرون کردن ١٠٠ قطعه فلزی زنگ زده از شکم یک مرد+ عکس

داکتران از شکم مردی ۵۲ ساله که بارها اشیاء تیز و غیرمعمول خورده بود، انبوهی از قطعات فلزی را خارج کردند.
مردی که سالها به بیماری روانی سایکوز مبتلاست و به همین دلیل عادت به بلعیدن اشیائی فلزی و غیر معمول دارد، پس از ۵ بار عمل جراحی بار دیگر در بیمارستان بستری شد و جراحان از شکمش تودهای فلز و اشیاء دیگر خارج کردند.
به نقل از بیامجیکیس ریپورت، قطعاتی که وی خورده بود در طول زمان به یکدیگر متصل شده و تودهای به نام bezoar تشکیل داده بودند که میتواند در هر جایی از دستگاه گوارش، از جمله معده شکل بگیرد.
این بیمار روانپریش که نامی از او برده نشده، طی ۵ سال گذشته و در پی درد شدید و بالاآوردن خون ناشی از تجمع قطعات مذکور، ۵ بار دیگر تحت عمل جراحی قرار گرفته بود و هر بار چیزهایی چون چاقو، ناخن، پیچ، پیچگوشتی، قاشق، ریگ و سنگریزه، سیم آهنی، و سکه از شکمش بیرون آورده شده بود.
اختلال سایکوز نوعی روانپریشی یا اختلال روانی است که باعث میشود بیمار ارتباط خود را واقعیت از دست بدهد و از این رو، مبتلایان به آن نمیتوانند تشخیص دهند که چه چیزی واقعی و چه چیزی غیر واقعی یا ساختگی است. چنین بیمارانی در معرض آسیب رساندن به خود یا دیگران قرار دارند و به همین سبب اغلب باید بستری شوند و تحت مراقبت و درمانهای خاص قرار گیرند.




